
283 Anjing Terancam Terkena Wabah Scabies Lagi Jika Tidak Segera Vaksin
terkumpul dari target Rp 250.000.000
“Udah sakit-sakitan ya Nak, udah engga lucu, udah bosan, makannya jadi pelampian emosi majikanmu. Sayang Ibu.. maafkan Ibu ya Nak telat menjemput mu..” Ucap Ci Fang Fang pada anak kaki empat.
Dilanjut berbicara pada kami,
“Macam-macam Ka saya ambil anak kaki empat ini dari majikannya, saya gak tega liat mereka disiksa sama makhluk Tuhan yang tak punya hati nurani..”

“Tapak Kito” begitu sebutan Ci Fang Fang untuk shelter di rumah ini, miliki arti “Jejak Kaki Kami”. Bagi Ci Fang Fang, rumah ini bukan sekedar tempat tinggal, tapi juga merupakan jejak perjalanan dalam memberikan perlindungan serta kasih sayang kepada anak kaki empat yang Ia rawat dengan penuh cinta dan perhatian.
Tak terasa ada 283 ekor anak kaki empat yang tinggal bersama Ci Fang Fang saat ini. Anjing yang beliau selamatkan bukan hanya yang ‘dibuang’ oleh pemiliknya saja, tapi juga beliau selamatkan anjing yang terlantar di jalanan. Jadi tak heran kalau anak kaki empat di rumah ini lebih banyak anjing domestik dibanding anjing ras.

Masing-masing anjing disini miliki cerita yang mengharukan. Ungkap Ci Fang Fang ada yang lehernya diikat pakai tali rafia dan di seret-seret oleh tukang jagal. Perlu 2 jam untuk menenangkan anjing malang itu karena trauma berat yang dialaminya.
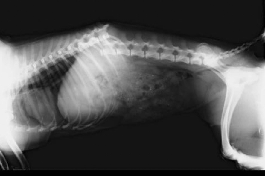
Ada juga anak kaki empat korban tabrak lari hingga alami patah tulang di punggungnya. Dokter pun sampai menyerah saat itu, suata ‘kaing kaing’ melengking kesakitan buat Miracle tak bisa apa-apa. Hanya tengkurap pasrah.

Tak hanya itu, banyak juga anak kaki empat disini yang menjadi korban kekerasan majikannya. Ada yang matanya sampai buta, kaki hanya 3, bahkan lumpuh.

Sama halnya seperti kita, sesama makhluk hidup. Mereka harus makan setiap hari, pun jika sakit mereka harus periksa ke dokter untuk sembuh. Tapi apa daya.. Kondisi Shelter Tapak Kito kini sedang tidak baik-baik saja..
- Untuk Pakan..
“Anak-anak disini sekarang terpaksa harus makan dengan dogfood yang saya campurkan dengan nasi. Kami terpaksa berhemat, karena bagaimana lagi.. Uang operasional semakin menipis setiap harinya, sedangkan setiap bulan paling tidak saya harus menyiapkan 150 karung dogfoods dan 1 karungnya itu harganya Rp300 ribu.."
- Untuk Medis..
“Semua anak anak ini sebetulnya sangat butuh untuk di vaksin pasca wabah scabies kemarin, karena jika tidak khawatir terkena lagi. Tapi apa daya.. Untuk ke dokter pun saya hanya bisa bawa anak yang benar-benar kondisinya parah kak, itupun harus menunggak, sampai sekarang tunggakannya sudah sangat besar..”

Tak hanya kebutuhan medis saja yang harus menunggak, tapi sewa lahan pun terpaksa belum Cici bayar karena tidak memiliki cukup uang. Beliau hanya miliki sedikit simpanan yang digunakan untuk memastikan anak kaki empatnya tetap tercukupi makanannya. Hingga saat ini, banyak sekali notifikasi tagihan dari dokter hewan dan ibu pemilik sewa rumah yang terus berdatangan dengan jumlah yang tidak sedikit.
#TemanKebaikan Ci Fang Fang kini dilanda pilihan sulit setiap harinya, “Anjing tahan lapar dan kesakitan? Atau anjing kembali ke jalanan karena tak miliki rumah?”. Satu-satunya harapan beliau dan 283 anjing ini hanyalah kita para pecinta ANABUL kak.
Mau tolong anjing-anjing disini tetap mendapatkan penghidupan dan perawatan yang layak dari Ci Fang Fang engga?
Mengapa donasi di Sajiwa Foundation?
- Pendampingan yang dilakukan merupakan bentuk Integrasi Kebutuhan Material dan Non Material
- Memiliki Objektif pendampingan SMART (Specific, Measurable, Achievable, Relevant, Time-Bound) yang disusun berdasarkan asesmen kebutuhan penerima manfaat.
- Dijalankan dengan prinsip pertemanan yang menyenangkan.
- Sajiwa Foundation terdaftar dan diawasi oleh Kemenkumham, Dinsos Kota Bandung dan Dinsos Jawa Barat.
- Setiap bulan Sajiwa Foundation melaporkan Aktivitas Program dan Laporan Keuangan bulanan di laman website.


283 Anjing Terancam Terkena Wabah Scabies Lagi Jika Tidak Segera Vaksin
terkumpul dari target Rp 250.000.000
