
Tulang Kaki Bengkok, Anza Butuh Biaya Tuk Operasi
terkumpul dari target Rp 50.000.000
“Hancur banget dengar Anza menjerit kesakitan. Dokter bilang Anza harus berobat di Singapore, tapi kami tidak punya uang”-ibu Marlina, ibu Anza.
Umur 2 tahun, Siti Nur Anzaini (Anza, 11 tahun) sempat terjatuh dan tulang kakinya patah. Dikarenakan orang tuanya saat itu belum tahu pengobatannya, mereka membawa Anza ke pengobatan alternatif.

Sempat membaik, namun setiap kali terjatuh tulang kakinya selalu patah. Orang tuanyapun berpikir bahwa ada yang aneh dengan Anza. Akhirnya mereka membawa Anza ke Rumah Sakit terdekat dan langsung di rujuk ke RSCM Jakarta saat umur 5 tahun.

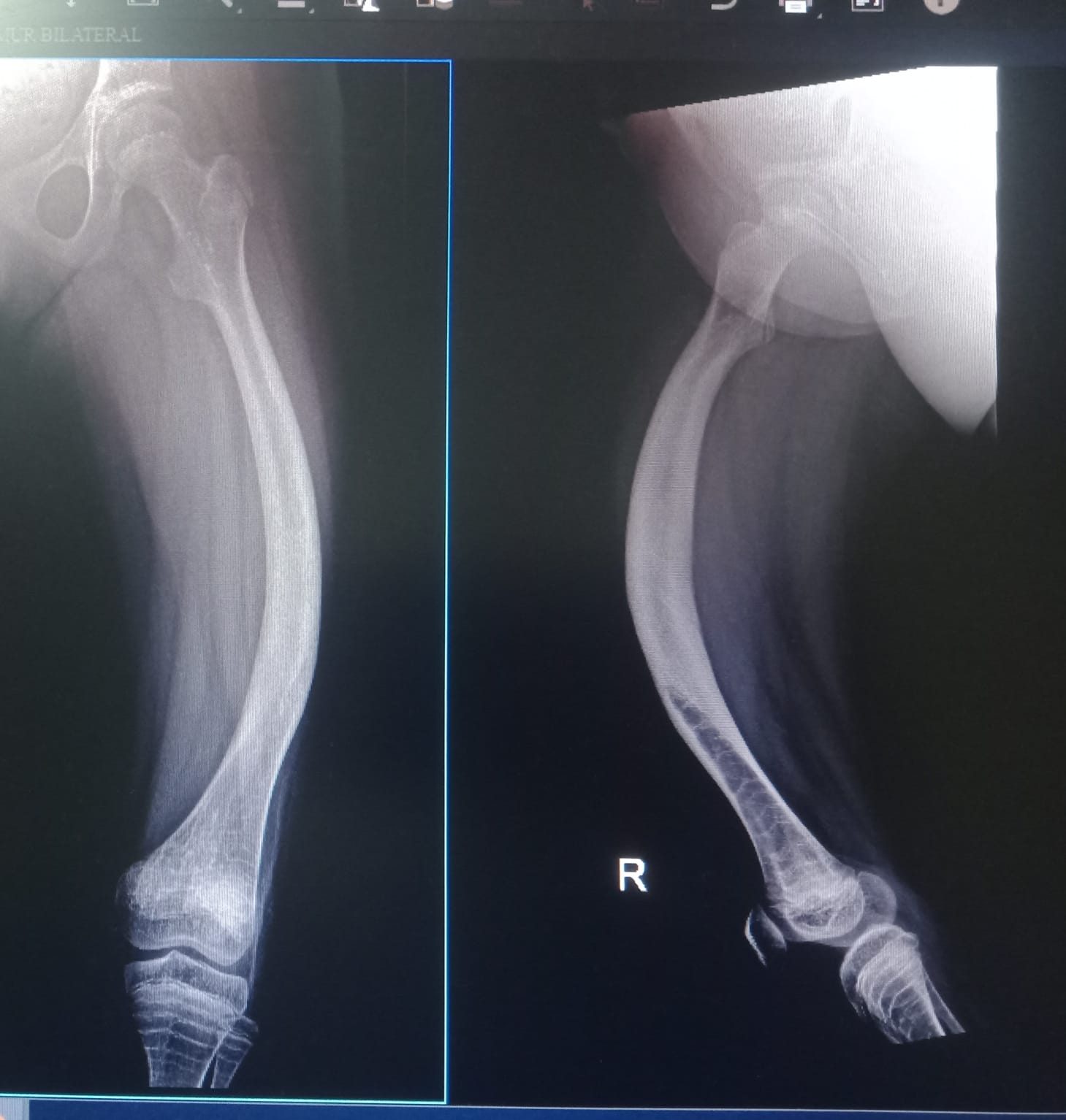
Di RSCM, Anza menjalani pemeriksaan rontgen dan pemeriksaan lainnya didapati bahwa kedua tulang kaki Anza bengkok dan rapuh. Ternyata Anza menderita penyakit langka yakni osteogenesis imperfecta tipe III.
“Dokter bilang tulang Anza sangat rapuh. Sehingga apabila terjatuh atau terbentur bisa langsung patah” ibu Anza.

Saat itu kaki Anza langsung dipasang gips agar rasa sakit yang Anza rasakan berkurang patahannya membaik. Setiap kali tulang kakinya patah, Anza selalu menjerit kesakitan saat kakinya tersentuh. Karena di Indonesia belum ada pen khusus osteogenesis, dokter menyarankan Anza untuk menjalani operasi pemasangan pen di Singapore.
Untuk berobat di Singapore pastinya mereka butuh biaya yang tak sedikit. Info yang mereka dapat dari pasien OI yang pernah menjalani operasi di Singapore, biaya sekali operasi sekitar 300 juta belum termasuk biaya hidup disana. Mereka butuh biaya lebih dari 1 miliyar untuk menjalani 4 kali operasi karena ada 4 bagian tulang Anza yang harus dipasang pen.

Mustahil rasanya bagi pak Haryadi untuk mencari biaya pengobatan sebesar itu. Sementara dia bekerja sebagai buruh serabutan yang penghasilannya kadang ada kadang tidak ada. Selama ppengobatan di Jakarta saja mereka seringkali meminjam uang ke tetangga dan saudara untuk biaya transport dari Bogor ke Jakarta.
Jika pak Haryadi sedang tidak ada penghasilan, terppaksa bu Marlina berhutang ke tetangga atau ke warung untuk membeli bahan makanan. Bu Marlina juga sudah menjual perhiasannya untuk pengobatan Anza. Entah harus bagaimana lagi mereka harus mencari biaya pengobatan Anza.

Sementara mereka sangat berharap Anza bisa sembuh dari sakitnya dan tumbuh normal, bisa berjalan lagi sehingga tidak ngesot lagi, bisa aktif di sekolah dan bisa mengikuti pelajaran olahraga seperti teman- temannya.
Yuk salurkan bantuanmu agar Anza bisa terus menjalani pengobatan dan operasinya.
Tulang Kaki Bengkok, Anza Butuh Biaya Tuk Operasi
terkumpul dari target Rp 50.000.000
