
Tangis Aisyah, Mualaf Patah Tulang Karena Kecelakaan
terkumpul dari target Rp 100.000.000
Baru 4 Bulan Aisyah Menjadi Seorang Mualaf
Paska Rajagukguk atau kini bernama Aisyah adalah seorang mualaf yang berasal dari Tarutung Sumatera Utara. Baru-baru ini Aisyah menjadi mualaf, tepatnya sejak hari Jumat tanggal 6 Maret 2020 kemarin.

Setelah menjadi mualaf, Aisyah diterpa ujian yang bertubi tubi. Aisyah dikucilkan oleh keluarganya. Lalu pada hari Rabu 10 Juni 2020 kemarin Aisyah harus menghadapi ujian yang berat. Aisyah mengalami kecelakaan lalu lintas yang cukup parah.
Kronologi Kecelakaan Aisyah
Kejadian bermula saat Aisyah pulang kerja dan dibonceng temannya. Di perjalanan pulang motor yang dikendarai Aisyah dan temannya berupaya menghindari mobil dari arah berlawanan. Motor yang dikendarainya akhirnya oleng dan terjatuh.
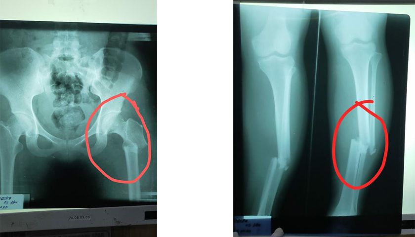
Teman Aisyah tidak mengalami luka parah, berbeda dengan Aisyah yang kondisinya memprihatinkan. Aisyah mengalami patah tulang betis, patah tebu tulang paha, pinggang dan bahu kanannya yang kini sulit digerakkan.

Kemungkinan pengobatan Aisyah akan membutuhkan waktu yang lama dan biaya yang besar. Setelah dilakukan pengobatan dan CT Scan di Rumah Sakit di Kabupaten Pelalawan. Akhirnya Aisyah harus dirujuk ke Rumah Sakit Ibnu Sina Pekanbaru karena luka yang dialami Aisyah cukup parah dan terdapat benda yang masuk ke daging.


Sahabat yuk bantu Aisyah seorang mualaf yang sedang diuji oleh Allah ini.
Bersama kita ringankan beban Aisyah agar bisa sembuh, pulih dan dapat kembali beraktifitas seperti biasa.
Klik "DONASI SEKARANG" dan berikan donasi terbaikmu.
Tangis Aisyah, Mualaf Patah Tulang Karena Kecelakaan
terkumpul dari target Rp 100.000.000
